Langley, BC , V1M 2Y2
Tue: 9:00AM - 5:00PM
Wed: 9:00AM - 5:00PM
Thur: 11:00AM - 7:00PM
Fri: 8:00AM - 4:00PM
Sat: 9:00AM - 2:00PM
Sun: CLOSED
About Apple Dental Implant Centre –
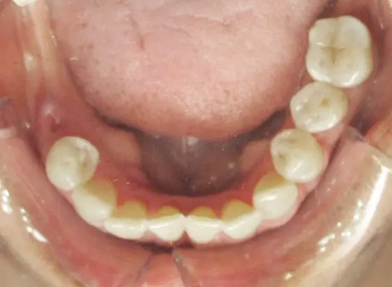
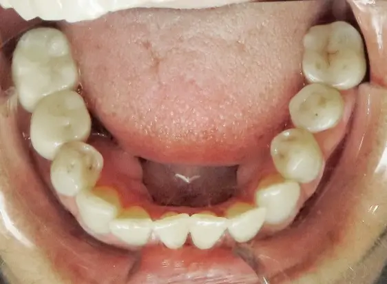
Our Services
Our Languages
Our Location
Our Team

Dr. Jeongyeo Park
General Dentist

Dr. Vikram Nanda-Kumar
General Dentist
Contact Apple Dental Implant Centre –
"*" indicates required fields
Dr. Amin Shivji
Dr. Amin Shivji was born in Africa and moved with his family to Vancouver in 1973. In 1989 he graduated from the University of British Columbia with a Bsc in Biology and entered the Faculty of Dentistry at UBC, graduating with DMD in 1993.
Since graduating in 1993, he has been practicing dentistry in Vancouver. Dr Shivji has taken additional education and training in numerous post doctoral courses in occlusion (bite), implants, oral conscious sedation, orthodontics, cosmetic dentistry and laser dentistry.
Dr. Shivji strives to help patients achieve excellent oral health and personalized patient education. Recognizing that oral health can affect other areas of the body, Dr. Shivji evaluates and treats each patient to promote healthy teeth and gums.
Dr Shivji has a wife, Sharon, and two boys and they all love to travel.
Locations:
Dr. Ali Mehdi
I grew up watching my father in his practice of medicine and he became my first inspiration to pursue a career in healthcare. I graduated with a Bachelor of Dental Surgery (BDS/DDS) degree in Pakistan in 2008 and continued with specialty training in Oral and Maxillofacial Surgery which finished in 2014. I grew more passionate about helping people during my training which focused on facial trauma, cleft lip, and palate surgeries and oral cancers. Currently, I am registered as a General Dentist in Canada with interest in implant dentistry and dental surgical procedures. I cherish the opportunity of making a positive impact in my patient’s lives that this career allows me.
I am the most passionate about providing children in need with a supportive environment to flourish in. I actively support the SOS Children’s Village, which is a non-governmental, non-profit organization that provides humanitarian and developmental assistance, to orphaned children, across the globe. (https://www.soschildrensvillages.ca/) In addition, I love finding out and supporting initiatives in this area by organisations like BC Children’s Hospital Foundation and Hope and Healing.
You can learn more about my clinical work and philosophy at https://clinicalcatalyst.ca/ and on Instagram @clinical.catalyst. In my free time, I love to spend time with my family, try out new recipes, read, write, and engage in outdoor activities. See my adventures here: Ali M (@aj_mehd1) • Instagram photos and videos.
I maintain membership status with multiple professional associations including BC College of Oral Health Professionals (BCCOHP), British Columbia Dental Association (BCDA), Doctors without Borders, Cleft Lip and Palate Association of Pakistan.
White Rock New Westminster Richmond
North Vancouver Yaletown
Dr. Edmund Wong
Dr. Wong has many years of experience. His training has given him the opportunity to provide a wide variety of services for his patients.
After graduating from the Faculty of Dentistry at The University of British Columbia in 1993, Dr. Wong has committed himself to providing quality dentistry to all patients. He has a passion for making a positive impact on peoples lives.
Patients of all ages receive the comprehensive, experienced care they need from Dr. Wong on a daily basis. He loves treating patients and building lasting relationships with them. He still calls every patient to follow up after visits to see how their experience was!
Dr. Chad Loewen
Dr. Loewen was born and raised in the Lower Mainland and recently moved to the Fraser Valley with his wife and three children – two daughters, ages 6 and 4, and a one-year-old son. Dr. Loewen studied and earned degrees at Trinity Western University. Since completing his dental degree at University of Southern California in Los Angeles, he relocated to Greater Vancouver and has been practising in Chilliwack. He loves spending time with his family, reading and woodworking
Dr. Hamidreza Shirbani
Dr. Hamidreza Shirbani completed his Doctorate in Dental Surgery from the School of Dental Medicine at Tehran Azad University in 1996 and practiced dentistry for ten years. He then obtained a Masters of Science Degree in Periodontics whilst he held an Assistant Professor position at the Shiraz University for six years prior to immigrating to Canada. He completed the Dental Board Examination in Canada in 2016. After becoming a certified general dentist he began his practice as an associate general dentist in two offices in Burnaby and Coquitlam.
Dr. Shirbani is dedicated to maintaining high quality standards and also values patient satisfaction when it comes to providing any dental treatment. In the course of his career he has maintained interest in periodontal treatment, implant and family dentistry.
Dr. Kiranpal (Tony) Gill
Dr. Gill has done much to assist in educating the public about dentistry, from being a featured guest on numerous radio and television talk shows to creating and hosting The Dental Show, a radio call-in program in Vancouver. He has been and continues to be an adviser, clinical tester, and consultant for selected dental laboratories and dental materials companies. He is a technical adviser for dental office software.
Dr. Gill has been performing difficult cosmetic and surgical cases since 1996, combining his expertise in orthodontics, restorative and cosmetic dentistry, and implantology to create natural smiles. Dr. Gill has worked with 11 different Vancouver and Lower Mainland dental offices last year, performing extractions as well as placing implants, bone grafting, and assisting dentists in learning about new implant and restoration techniques.
Dr. Gill has been working with implants since 1993 and has taken many lectures and hands-on courses on implants, surgery and bone grafting, travelling to the US and to Germany to study with Dr. Paul Weigl at the University of Frankfurt School of Dentistry.
Dr. Mehrdad Ezzati
Dr. Ezzati began practicing dentistry in 1997 and has been dedicated to providing all his patients with the highest standard of dental care, ever since. He is eager about keeping up-to-date with the impressive advancements in dental technology, and to make this available to his patients as needed. His aim is to pair technology with expertise to establish a genuinely caring approach for each individual, and to ensure he can give every patient the most effective treatment options available.
Every patient can expect open, direct, and honest communication from Dr. Ezzati and his staff regarding prognosis, expectations, time requirements and costs. He practices as if every patient is a family member, taking their best interests to heart on a personal level. That’s the mark of a good dentist in Vancouver or anywhere else for that matter, and it’s a big part of the exceptional service and dental excellence that Dr. Ezzati is committed to providing.
Dr. Mohammad Moshtaghi
Dr. Mo was born in Iran and has been practicing dentistry for the past 24 years, dedicating the last 18 years towards Implant Dentistry and Periodontal (gum) surgeries. He has been practicing as a licensed general dentist in Canada since 2015.
After getting his DDS from Shahid Beheshti University in 1995, he practiced general dentistry for three years and went back to the university to receive his MSc in Periodontics in 2001. In Iran, he provided patients with periodontal and advanced implant treatments at his private practice and served as an assistant professor at the Guilan University of Medical Sciences.
Dr. Mo has a passion for continuous education and has served both as an instructor and a student in various courses to cultivate his passion for implant dentistry.
Away from his practice, Dr. Mo enjoys skiing, biking, and spending time with his family.
Dr. Payam Eslami
Dr Payam Eslami, General Dentist, (DMD, B.A.Sc, EE) has been practicing family and cosmetic dentistry in Chilliwack since 2013.
Prior to earning his degree in dentistry, he studied in Electrical Engineering and received his Bachelor’s degree with distinction at the University of British of Columbia. He then attended and earned his Doctor of Dental Medicine at the University of British Columbia.
As a former engineer, he is a strong believer in implementing the latest technologies to obtain the highest quality of care for his patients. He enjoys attending post-degree seminars and continuing education classes to add to his skill sets.
Dr. Eslami and his team are committed to providing quality care in a kind and comfortable environment. They have helped many patients from all ages overcome their anxiety towards dental treatment. He also values and strives to establish trusting long term relationships with his patients.
His hobbies include reading, traveling, hiking, and playing soccer.
Dr. Ruby Bhullar
Dr. Ruby Bhullar earned his Doctor of Dental Medicine (DMD) degree from the University of British Columbia in 2007 and has been practicing dentistry for almost 20 years. In 2010, he began his journey towards becoming proficient in implant dentistry, and, just a few years later, in 2013, he became an Associate Fellow of the American Academy of Implant Dentistry (AFAAID). He’s also a Fellow of the Academy of Clear Aligners (FAACA) and is currently working on completing his Fellowship with the Academy of General Dentistry.
Dr. Bhullar is a well-established Invisalign®️ provider and has treated hundreds of cases—many that would have traditionally required metal braces. He’s also highly trained in sedation dentistry, including oral, nitrous oxide, and IV sedation, helping even the most anxious patients feel at ease during treatment.
Technology is a major part of Dr. Bhullar’s approach to care. He regularly incorporates lasers, CT scans, and 3D digital scanning into treatment planning to ensure patients receive modern, precise, and comfortable care. While he enjoys all aspects of general dentistry, he currently focuses on IV sedation, oral surgery, implantology, and clear aligner orthodontics.
Outside the clinic, Dr. Bhullar is committed to giving back. He’s a co-founder of the Indo-Canadian Dental Association and is involved in charitable initiatives that provide dental care to underserved communities.
When he’s not in scrubs, Dr. Bhullar is on the ice playing hockey with his old university buddies or spending time outdoors with his wife, two kids, and their German Shepherd. He loves to travel and recharge in nature—especially when it includes quality family time.
Dr. Sasan Hadianfar
Dr. Sasan Hadianfar believes in family dentistry. Dr. Hadianfar continuously aligns his vision and passion for excellence in dentistry with the type of services people come to ask of him. Dr. Hadianfar’s philosophy is to provide gentle care services to his patients, young and old. In the comfortable and secure environment of a modern friendly facility to service the families and community.
Dr. Sepehr Zahedi
Dr. Sepehr Zahedi is a dentist with a Master’s degree in dental anesthesiology. He is a graduate of the Dental Anesthesiology program at the University of Toronto in 2012, a three-year post-graduate degree. Prior to this, he also attained his Doctor of Dental Surgery degree from University of Toronto. Dr. Zahedi maintains general anesthesia and sedation for dentistry facilities in lower mainland and is also an associate professor at the University of British Columbia in the field of pediatric sedation as well as local anesthesia and nitrous oxide. Dr. Zahedi grew up in Bearspaw, Alberta where he attended University of Calgary, William Aberhart High school, and F.E. Osborne Primary School.
Dr. Zahedi has tailored his practices to accommodate patients who are very dentally anxious, medically compromised, or developmentally delayed. In his spare time, Sep volunteers at the Vancouver downtown eastside dental clinic offering free dental care to the homeless and needy. He is an avid soccer player and fan.
In keeping with his graduate training, Dr. Zahedi has tailored his practice to accommodate patients who are very young, dentally anxious, medically compromised or developmentally delayed.
Dr. Shamsher Sandlas
Bio Coming Soon
Dr. Siavash Arvan
Dr. Siavash Arvan graduated from Tehran University of Medical Science in 2013. He took over his dad’s dental clinic in Tehran, practicing as a general dentist for 6 years.
Dr. Arvan and his wife, who is also a dentist, came to Canada and challenged the NDEB exam. In 2019, he obtained his Canadian license with the College of Dental Surgeons of BC and joined the Canadian Dental Association.
Dr. Arvan enjoys all aspects of dentistry, including aesthetic dentistry and oral surgery, and has completed advanced training for wisdom teeth extractions, implants, and bone reconstruction.
Dr. Arvan receives much gratification by interacting with his patients in a compassionate manner. He takes pride in providing his patients the beautiful smile they deserve.
Dr. Arvan is bilingual and speaks Farsi and English. In his free time, he enjoys doing yoga, and outdoor activities such as hiking, and playing tennis.
Dr. Ahmed Ballo
Born in Parma, Italy, Dr. Ahmed Ballo has spent the last fifteen years, study, working, and travelling between continents. Dr. Ballo is a Board Certified Specialist in Prosthodontics and serves as a Clinical Assistant Professor in the Faculty of Dentistry at the University of British Columbia.
Dr. Ballo, a surgically trained prosthodontist, earned his specialist training, MSc and Diploma in Prosthodontics at the University of British Columbia in Vancouver.
He obtained his Bachelor of Dental Surgery (BDS) degree in 2002, followed by one year of internship at Garyounis University. After several successful years in private practice, he moved to Finland to pursue further postgraduate education. He received a PhD degree as well as clinical training in implantology as a scholar of the International Team for Implantology (ITI) in 2008 at the University of Turku, Finland. He subsequently became a postdoctoral fellow at the University of Gothenburg in Sweden from 2008-2012.
In 2012, he moved to Vancouver and became a Clinical Assistant Professor at the UBC Faculty of Dentistry. In recognition of his excellent and contribution to UBC undergraduate dental students’ education, he has received three consecutive teaching awards for the academic year 2014, 2015, and 2016, an exceptionally remarkable achievement given his short time at UBC.
Dr. Ballo is a fellow of the International Team for Implantology (ITI) and a member of the Canadian Dental Association, British Columbia Society of Prosthodontics, British Columbia Dental Association, and American College of Prosthodontist. Dr. Ballo is the director of the Vancouver Digital ITI Study Club.
A widely published and internationally respected clinician and lecturer, Dr. Ballo’s main focus within clinical practice, teaching, and research is esthetic and implant dentistry as well as well as the implementation of cutting-edge digital technologies in complex implant oral rehabilitation.
Dr. Ballo has published more than 50 scientific papers, and book chapters, and authored a textbook in the field of implant dentistry and related research. His excellence has been recognized with multiple prestigious awards and honours, including Dr. Donald Brunette Award in Dentistry, Dr. S. Wah Leung Award, and European Biomaterials and Tissue Engineering Doctoral Award (EDA).
Dr. Saman Naddaf
Dr. Saman (Sam) Naddaf was born to be a dentist. When asked as a child what he would like to be when he grows up, a dentist was his first and only answer. Dr. Naddaf brings over 11 years of experience as a dentist. After graduating from University of Toronto, he worked in Port Hope, Ontario for several years prior to making the move to the beautiful British Columbia along with his wife and young daughter. He takes pride in being able to provide all aspect of dental care, from an infant’s first visit to complete cosmetic make overs, root canals, implants, and surgeries. Continuing education programs and clinical updates are a priority for Dr. Naddaf. Making people comfortable is his passion. Dr. Naddaf is an avid soccer player, adding golf to the days with better weather.
Dr. Jae Cho
Dr. Jae Cho graduated from the University of British Columbia, where he earned his Doctor of Dental Medicine degree. Dr. Cho always strives to make each patient's dental experience comfortable and stress-free, ensuring they leave with smiles that truly reflect their best oral health. He is committed to providing top-notch oral healthcare to his patients by continually staying updated on the latest advancements in dentistry. This allows Dr. Cho to offer the best treatments to his patients in all aspects of dentistry including restoratives, cosmetic dentistry, crowns, root canals, pediatric dentistry and oral surgery.
Dr. Cho's treatment philosophy revolves around patient-centered care, where patients' opinions and concerns are always prioritized and heard. By valuing your opinions and concerns, he aims
to form lasting relationships with his patients for the years ahead. Outside of the clinic, you may find him on the golf course refining his skills on the fairway, or going on long walks with his border collie, Roy.
Dr. Cornel Gabor
Dr. Cornel Gabor, General Dentist, graduated from McGill Dental School in 2010. He then moved to Vancouver to complete a one-year General Practice Residency at UBC, where he further trained in sedation, surgery, and provided care to underprivileged communities in BC and abroad.
Dr. Gabor strives for high quality work and is always trying to improve himself by staying current with new techniques and technologies. He attends numerous continuing education courses and focuses on dental extractions, implants and crown and bridge. He is an active member of the Canadian Association of Restorative Dentistry and Prosthodontics (CARDP).
Dr. Gabor has a special interest in cosmetic dentistry, orthodontics (Invisalign) and Botox.
He has been at Olympic Village Dental since 2017 and is happy to be practicing in the community in which he lives. He strives to provide patients with the highest standard of care and an overall heightened patient experience. When he is not at the office, Dr. Gabor enjoys playing tennis, going to the gym, fixing his boat and, above all, spending time with his daughter.
Dr. Chris Lee
Dr. Chris Lee grew up and lived most of his life in Vancouver. After finishing elementary and high school in the Vancouver area, he attended the University of British Columbia (UBC), where he completed his Bachelor’s degree in Pharmacy (B.Sc. (Pharm)) followed by a Doctoral degree in Dental Medicine (D.M.D).
Dr. Chris enjoys providing all aspects of dentistry, including cosmetic and surgical dentistry. He has an extensive experience in wisdom teeth extractions and implant dentistry, areas in which he is heavily involved in teaching at the WISE Institute that he co-founded. For several years, he has been a part-time clinical instructor at UBC Faculty of Dentistry, where he shares his passion, knowledge, and experience with the senior year dental students.
Dr. Chris strives to deliver the highest quality care possible. Therefore, he is deeply committed to various continuing education and has accumulated over a thousand hours of continuing education hours over the years. In 2017, he was awarded a fellowship with the largest implant organization, the International Congress of Oral Implantologist (ICOI), to highlight his achievements.
Dr. Andrea Rigo
Dr. Andrea Rigo is a General Dentist with a special interest in cosmetic and comprehensive treatment planning through Digital Smile Design, implants, gum grafting and management of gum disease. Graduating in 2011 in Brazil and subsequently in 2021 in Canada, Dr. Rigo's educational journey spans continents.
Born in Videira, Brazil, Dr. Rigo shares a household with a delightful 6-year-old Golden Retriever named Nala.
Beyond the realm of dentistry, Dr. Rigo's enthusiasm lies in traveling, seizing opportunities to explore new destinations while investing in dental courses around the world.
Andrea's mission is to provide patients with high-quality dental care in a comfortable and relaxing environment.
Her casual-hearted personality is warmly received, and her gentle touch puts patients at ease.
Dr. Jennifer Cho
Born in Seoul, South Korea, Dr. Ah Ram (Jennifer) Cho moved to Coquitlam at the age of 12. Dr. Cho obtained a Bachelor of Science degree in chemistry at the University of British Columbia, then she went to the University of Sydney, Australia for her dental training. After competing her dental degree, Dr. Cho worked at Northern Alberta for 6 years before finally settling back to her hometown.
Being a dentist was Dr. Cho’s dream since young, as she was exposed to many good dental experiences as a patient, and she wants to return the same to her patients. Dr. Cho is empathetic, passionate and is devoted to provide a pleasant dental experience for all patients. Dr. Cho’s devotion and passion in dentistry has made her taking various continuing education courses, including dental implants and IV sedation. She is dedicated to providing the best quality care to patients.
In her leisure time, Dr.Cho enjoys watching K-drama and playing golf and board games with her friends and family. Dr. Cho is proud to be part of the PocoSmiles team.
Dr. Sara Hamidi
Doctor of Dental Medicine (DMD), Faculty of Dentistry, University of British Columbia, 2001
Master of Science, Faculty of Dentistry, University of British Columbia, 1997
Bachelor of Applied Science, Mathematics, University of British Columbia, 1994.
Dr. Sara Hamidi graduated with honours from Carson Graham Secondary in 1990 and continued with her post-secondary education at the University of British Columbia where she obtained her Bachelor degree in Mathematics and Master’s degree in the Department of Oral Biological and Medical Sciences. Sara then pursued and completed her Doctor of Dental Medicine (DMD) degree at the University of British Columbia in 2001.
Sara practiced dentistry as an associate in Surrey and North Vancouver from 2001-2006, and then in downtown Vancouver from 2006 to 2017. She is now the proud co-owner of the 123 Kerrisdale Dental Centre and strives to provide her patients with a high quality dental care in all aspects of dentistry, including cosmetic dentistry, implant supported dental prosthetics, wisdom teeth extractions, root canal treatment and Invisalign. She thoroughly enjoys her chosen profession and is committed to the advancement of her knowledge and skills in order to help her patients. Sara has been involved in a number of study clubs and has accumulated many continuing dental education hours in different aspects of dentistry. Sara has also been a clinical instructor at the Faculty of Dentistry at UBC since 2007.
Sara is an avid hockey and dance mom. She volunteers and coaches sports at her kids’ schools and enjoys spending time with her husband and their two teenage children. During her free time, Sara participates in Crossfit training and likes a variety of other sports including volleyball and running. She also enjoys travelling and socializing with her friends.
Dr. Jason Gomes
Dr. Jason Gomes is a Doctor of Dental Surgery, and was raised throughout Canada, from South Delta, BC, to Saskatoon, SK, and Ottawa, ON. He graduated from the University of Toronto, where he developed a passion for delivering exceptional care and crafting unparalleled patient experiences.
Choosing a community in Vancouver was a deliberate move for Dr. Gomes, as it not only resonates with him but also allows him to support his wife, who is embarking on her DMD journey at UBC’s Faculty of Dentistry.
At the core of Dr. Gomes’s practice is his commitment to quality care, embracing cutting-edge technology, and fostering deep connections with his patients. His healthcare philosophy embodies education, disease prevention, and minimally invasive treatments aimed at restoring dental function, comfort, and aesthetics while ensuring longevity.
To Dr. Gomes, dentistry represents a harmonious blend of art and science, offering an ideal work-life balance that allows him to relish moments with his family—a cherished ensemble that includes his wife, kids, and a delightful Labradoodle named Sulley.
Dr. Jason Gomes is a Doctor of Dental Surgery, and was raised throughout Canada, from South Delta, BC, to Saskatoon, SK, and Ottawa, ON. He graduated from the University of Toronto, where he developed a passion for delivering exceptional care and crafting unparalleled patient experiences.
Choosing a community in Vancouver was a deliberate move for Dr. Gomes, as it not only resonates with him but also allows him to support his wife, who is embarking on her DMD journey at UBC’s Faculty of Dentistry.
At the core of Dr. Gomes’s practice is his commitment to quality care, embracing cutting-edge technology, and fostering deep connections with his patients. His healthcare philosophy embodies education, disease prevention, and minimally invasive treatments aimed at restoring dental function, comfort, and aesthetics while ensuring longevity.
To Dr. Gomes, dentistry represents a harmonious blend of art and science, offering an ideal work-life balance that allows him to relish moments with his family—a cherished ensemble that includes his wife, kids, and a delightful Labradoodle named Sulley.
Outside the office, Dr. Gomes enjoys reading non-fiction books, golfing, playing chess, and pursuing the lifelong journey of learning.














