Change Your Smile. Change Your Life.
16 Convenient Locations Across Metro Vancouver
16 Convenient Locations Across Metro Vancouver
Why Choose Apple?
The Top 3 Reasons To Get Started Today!
We obsess about the quality of care you receive, and it shows in everything we do.
Single Dental Implant Starting from $999*
Replace a single missing tooth with a permanent, natural-looking implant.
Wisdom teeth & sedation at general fee guide prices
Comfortable wisdom teeth removal with sedation options for anxiety-free care.
Patient Financing Available In Minutes
Flexible payment plans to make your dream smile affordable and accessible.
Trusted by Leading Dental Associations
Why Choose Apple?
Why Choose Us?
For over 10 years, and 16 locations later, Apple has earned a reputation in Vancouver Metro because we always put our patients first.
Locations
Years
Support
Expert Team
Our skilled dental specialists have years of experience in implants, surgical procedures, and advanced treatments—rest assured, you’re in expert hands.
Cutting-Edge Technology
We use the latest technology to plan treatments with precision and deliver lasting results. Innovation is at the heart of everything we do.
Uncompromising Quality
Your smile is our top priority. We’re committed to delivering consistent, high-quality care that enhances both your health and confidence.
Your Dental Implant Specialists
From single tooth replacement, to full-mouth replacement, our team at Apple Dental Implant Centre use techniques and technologies, all available in-house, to provide you with your new permanent teeth.

Dr. Amin Shivji
Dr. Shivji has been helping Vancouver families achieve healthy, confident smiles for over 30 years. A graduate of the University of British Columbia, he’s trained extensively in cosmetic, implant, and laser dentistry, combining advanced techniques with a caring, patient-focused approach.

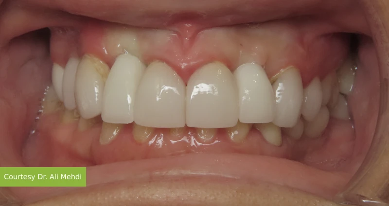
Dr. Ali Mehdi
Dr. Mehdi combines advanced dental expertise with a deep passion for helping others. Trained in Oral and Maxillofacial Surgery and now practicing in Canada, he focuses on implant and surgical dentistry. Beyond his clinical work, he actively supports children’s health initiatives and global humanitarian causes.

Dr. Edmund Wong
Dr. Wong has been providing quality dental care in Vancouver since 1993. Known for his compassionate and detail-oriented approach, he enjoys helping patients of all ages achieve healthy smiles. His genuine care extends beyond the chair – he personally follows up with patients to ensure every visit feels exceptional.

Book Your Free Consultation
Meet with our team of dentists and specialists to discuss your dental health, goals, and treatment options.

Treatment Planning
Every smile is different. Our team designs a tailored treatment plan to support your needs.

Smile With Confidence
Once your treatment is complete, you’ll leave with a fully restored smile that looks, feels, and functions.
Our Reviews
Experience The Apple VIP Treatment

